The dental field can be very rewarding, especially to those of us who help make a direct impact on the lives of the patients we serve. The following case came to Future Dental Studio and presented as an 80-year-old male with severe dental issues compounded by years of neglect.
This case presented a challenging yet ultimately rewarding opportunity for comprehensive dental rehabilitation. After thorough evaluation and consultation, a multidisciplinary approach was adopted, culminating in the decision to provide the patient with an implant-supported hybrid prosthesis to restore his oral function and quality of life. Utilizing advanced materials and techniques, including a titanium bar superstructure with zirconia, an All-on-4 restoration for the lower arch, and an All-on-X (six implants) approach for the upper arch, the treatment plan aimed to address the extensive damage and deterioration of patient dentition while considering his age and recent diagnosis of dementia.
This case study explores the patient’s journey of dental rehabilitation, highlighting the challenges, considerations, and, ultimately, the successful outcome achieved through collaborative efforts and personalized care.
Dental Patient Background
The patient, an 80-year-old male, presented with severe dental issues compounded by years of neglect. He exhibited symptoms of advanced gum disease, loose teeth, infections, and significant bone loss. One of his main issues was with mastication and discomfort. He had been reluctant to seek dental care, which exacerbated oral health problems. The patient was otherwise in good health, with the exception of being recently diagnosed with early-stage dementia. Dementia can be a devastating diagnosis both for the patient as well as the family. The dental problems created a new level of stress that the family wanted to resolve.

Multi-Disciplinary Approach Consultation Process
The patient’s family was determined to make sure and seek the best possible solution to ensure their loved one had the best quality of life. They shared that they had undergone a series of three consultations to assess his dental condition thoroughly. Each consultation led to the same conclusion: due to the extensive damage and deterioration of his teeth and supporting structures, the best course of action was to remove all remaining teeth. Given the patient’s age and his diagnosis of dementia, it was imperative to devise a treatment plan that would provide him with optimal dental function and comfort while considering his overall health and well-being.
Implant-Supported Hybrid Treatment Plan
After extensive discussion with the patient and his family, it was determined that the most suitable option for his case would be an implant-supported prosthesis. This approach would offer him the best chance to restore dental function and quality of life. The treatment plan involved the following steps:
Identifying and Optimizing Implant Placement
The patient underwent a CT scan to determine the following:
- Accurate Assessment of Bone Density and Volume
- Evaluation of Anatomical Structures
- Surgical Planning and Precision
- Assessment of Pathology or Anomalies
- Patient Safety and Comfort
The best options for implant placement were determined by the CT scans, taking into consideration bone availability. According to the scan, six implants were placed on the upper arch, and due to bone issues, four implants were placed on the lower. The patient would then be sent home with a removable prosthesis awaiting healing.

Multi-unit abutments (MUA)
The utilization of Multi-Unit Abutments (MUAs) played a pivotal role in achieving optimal implant-supported prostheses. MUAs are prefabricated components that allow for angulation correction and restoration of multiple implants as a single unit. Given the complexity of our patient’s case, MUAs offered a versatile solution for managing varying implant positions and angulations within the arch. Through careful planning and placement of MUAs, we were able to achieve ideal alignment and support for the prosthetic framework, ensuring stability and longevity of the final restorations.

Additionally, MUAs facilitated efficient prosthetic workflow, enabling streamlined fabrication and delivery of implant-supported prostheses. By leveraging the benefits of MUAs, we were able to overcome challenges associated with implant positioning and achieve precise implant-supported restorations tailored to our patient’s unique oral anatomy, ultimately enhancing their comfort and satisfaction with the treatment outcome.
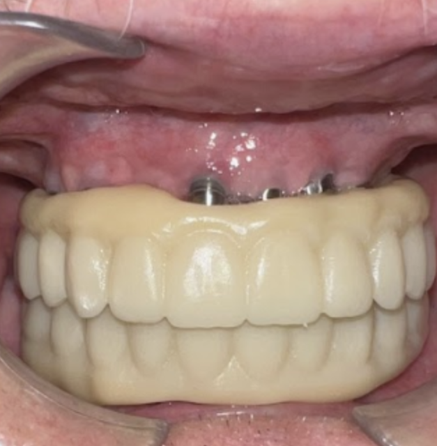
PMMA Try-in
After the osseointegration of the implants (approx. six months), Future Dental Studio designed a temporary PMMA (polymethyl methacrylate) to ensure a passive fit could be established. The try-in was employed as a pivotal step in the fabrication of his implant-supported prostheses.
Before finalizing the definitive restorations, the dental team used the PMMA try-in to assess the fit, function, and aesthetics of the prostheses. This interim phase provided an opportunity for adjustments to be made based on the patient’s feedback and the clinician’s evaluation, ensuring optimal comfort and appearance. Additionally, the PMMA try-in facilitated communication between the patient, dental laboratory, and treating clinicians, enabling any necessary modifications to be implemented prior to the fabrication of the final restorations.
Ultimately, the PMMA try-in played a vital role in achieving the desired functional and aesthetic outcomes for the patient’s implant-supported prostheses, enhancing his overall satisfaction with the treatment process.

Creating The Final Prosthesis
In collaboration with the patient and their family, our goal was to identify a final restoration solution that prioritized ease of maintenance and longevity. To achieve this, we presented the patient and their family with various options, providing detailed explanations of the pros and cons of each approach. After careful consideration and discussion, a consensus was reached to proceed with a zirconia hybrid prosthesis supported by an integrated titanium bar.
This choice offered the ideal combination of durability, aesthetics, and ease of maintenance, aligning with the patient’s preferences and ensuring a long-lasting solution for their dental rehabilitation needs. The benefits of this prosthetic option are as follows

The comprehensive dental rehabilitation of our patients exemplifies the collaborative effort between the dental team, the patient, and their family to achieve optimal oral health and quality of life. Through thorough assessment, careful planning, and open communication, we were able to address the extensive dental issues faced by the patient, resulting from years of neglect compounded by age-related challenges and a recent diagnosis of dementia.
By opting for implant-supported prostheses with a zirconia hybrid restoration supported by an integrated titanium bar, we provided a durable, aesthetically pleasing solution that met the patient’s preferences for ease of maintenance and longevity. This case underscores the importance of personalized care and tailored treatment approaches in addressing complex dental conditions, ultimately restoring function, comfort, and confidence to our patient’s life.
Moving forward, continued collaboration and diligent maintenance will be essential in ensuring the long-term success and satisfaction of our patient’s dental rehabilitation journey.


