As we strive to be the best dental lab, our primary objective is to deliver the utmost quality of care and aesthetic results to dentists and their patients. Specializing in crown and bridge fabrication, one of our core offerings includes porcelain veneers. Patients opt for porcelain veneers to improve their smiles due to their blend of durability, aesthetics, and minimal tooth structure removal. Drawing from our extensive experience collaborating with dentists, we have amassed valuable insights on optimal techniques for porcelain veneers.
Understanding Porcelain Veneers
As we all know, porcelain veneers are thin shells of ceramic material bonded to the front of teeth to improve appearance. They are an excellent solution for correcting dental imperfections, such as discoloration, chips, gaps, and minor misalignments. What steps can we, as dental professionals, take to improve patient satisfaction when providing the best porcelain veneer restorations?

Best Practices for Superior Results with Veneers
Comprehensive Patient Assessment
The journey to successful veneer application begins with a thorough assessment. Evaluate the patient’s oral health, enamel thickness, bite alignment, and aesthetic goals. Ensure no underlying issues like gum disease or severe misalignment could compromise the veneers. In addition, understanding the patient’s desired outcome is key to ensuring the patient feels satisfied with the procedure. The best dental lab for porcelain veneers is the one that clearly understands a patient’s expectations and desired outcomes for their porcelain veneers. Here are some of the best ways dentists can gain a clear understanding of what a patient wants from their porcelain veneers:
1. Initial Consultation and Open Communication
The initial consultation is a crucial step in fully understanding a patient’s desires. Ensure you encourage open communication and ask detailed questions about what they hope to accomplish with their veneers. Describe the aesthetic goals, concerns, and ideal outcomes you envision for their dental appearance.

2. Visual Aids and Examples

To help patients articulate their expectations, use visual aids such as photographs of previous cases, digital simulations, and tooth shape guides. Showing before-and-after photos of other patients can also help them better understand the potential outcomes and set realistic expectations. Often, managing a patient’s overall expectation based on what is possible is the key to ensuring they become raving fans of the practice.
3. Smile Design with Digital Technology
Digital smile design (DSD) tools can create simulations of the expected results. Patients can preview their enhanced smile, make adjustments, and provide feedback to align their expectations with the treatment plan. It is important to note that these are only simulations, and the final results may vary.
4. Discuss Limitations and Possibilities
It’s important to discuss porcelain veneer limitations and possibilities openly. In terms of the final results, explain how facial structure, natural tooth shape, and bite alignment can affect the outcome. Discussing realistic expectations with the patient can help manage their expectations and ensure they understand what to expect from the final restoration.
5. Encourage Feedback on Mock-ups

This step is often overlooked or skipped, but from a laboratory perspective, it is one of the most important steps in ensuring patient satisfaction. At Future Dental Studio, our wax-ups are made with the final results in mind. All of the clinician’s input and the patient’s requirements can be put in a mock-up, which can be used to try and show the patient what they can expect in the final restorations. The patient can then provide feedback on their feelings about the size, shape, color, and any other input about the proposed veneers.
6. Precise Shade and Shape Selection
Choosing the right shade for porcelain veneers is crucial to achieve a natural, harmonious smile. Make sure you guide your patient through this process thoughtfully. Discuss their aesthetic goals and any concerns about the color of their veneers. Using a comprehensive shade guide, analyze the most suitable color under various lighting conditions. A patient’s skin tone, natural tooth color, and even the whites of their eyes should be considered when selecting a shade that will complement their appearance. Provide professional advice while respecting the patient’s preferences during decision-making. With a personalized approach, the patient can achieve a result that is beautiful and authentic.

Tooth Preparation



Tooth preparation is key to achieving excellent and long-lasting results. Whenever possible, utilizing a conservative tooth preparation is ideal. Preserving as much of the natural tooth structure as possible while creating adequate space for the veneer will create the best results. This approach not only enhances the bond strength but also maintains the integrity of the patient’s tooth. To find out more about prepping teeth for veneers, please go to the following link:
Accurate Impressions
The foundation of a perfect veneer lies in the precision of the impression taken. To ensure detailed impressions capturing every aspect of the tooth and surrounding gum, use high-quality materials. This step is crucial for the lab to create veneers that fit seamlessly. Furthermore, you can send digital impressions to Future Dental Studio. As one of the best dental labs in Los Angeles, we have invested in state-of-the-art technology to support clinicians who prefer taking digital impressions. Digital impressions provide a unique patient experience and are a more comfortable impression-taking method. One significant benefit is that they enable real-time sharing with Future Dental Studio, streamlining the collaboration process and reducing the turnaround time.
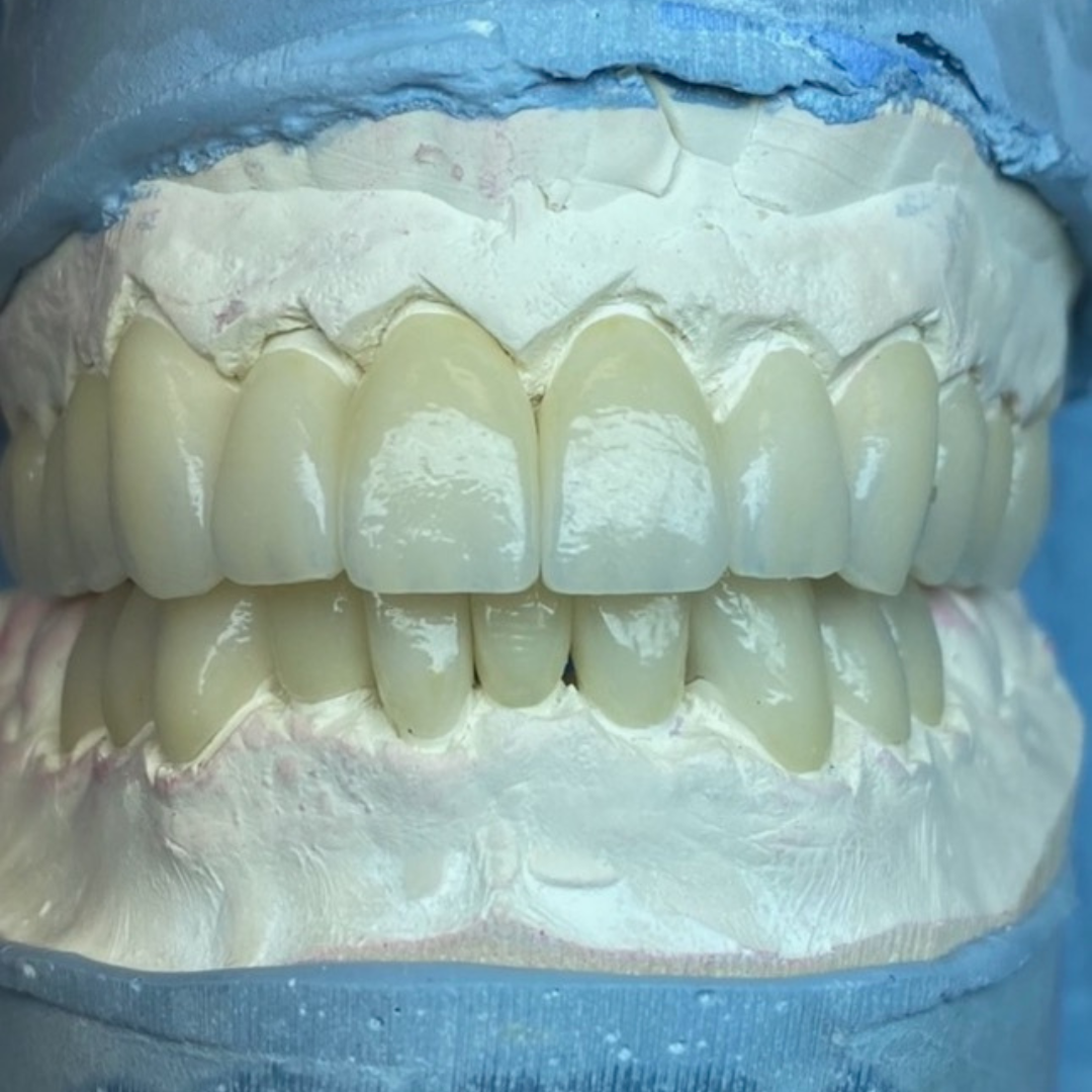
Porcelain Veneer Fabrication

Future Dental Studio fabricates porcelain veneers with an exceptional blend of artistry and precision engineering. We begin by meticulously analyzing digital impressions taken by dental professionals, ensuring that every detail of the tooth structure and the patient’s specific needs are captured. Our technicians instill a keen eye for detail and a state-of-the-art technological approach into every veneer, ensuring it fits perfectly, functions optimally, and looks natural. As a result of our team’s expertise and advanced fabrication techniques, we can produce veneers that not only meet but exceed dentists’ and patients’ expectations.
Successful veneer cases are attributed to the dentist’s and dental laboratory’s effective collaboration. Provide detailed impressions and specifications to ensure that your requirements are communicated. We are committed to meeting your highest expectations regarding veneers at Future Dental Studio. Following these best practices will increase your patients’ satisfaction and your success rate in applying porcelain veneers. With our combined efforts, we can help make your patients’ smiles beautiful, durable, and comfortable. Contact Kourosh at 747-222-7150 to learn more about our porcelain veneer workflow.
